
「抜けたままでもしばらくは
問題ありませんか?」「見た目以外に
影響は出ますか?」
と、
ご相談を受けることがあります。
患者さん
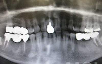
歯が抜けたままにしたら他の歯がズレてしまいました。どうしたらよいでしょう?
Dr.武田
軽度のズレなら調整や詰め物で対応可能ですが、大きく傾いた場合は矯正や被せ物が必要です。ズレが広がる前に早めの診査・治療をおすすめします。
患者さん
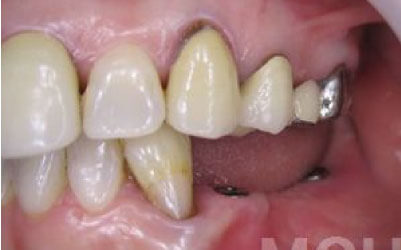
見えないところの治療なら保険のブリッジ(銀歯)でもインプラントでも同じですか?
Dr.丸尾
ブリッジとインプラントは、隣接する歯の寿命に大きな差があります。
ブリッジは支えの歯が虫歯でなくとも大きく削る必要があり、さらに噛む負担が1.5倍もかかるため寿命が短くなります。
統計ではブリッジの支えの歯は、10年以内に68%が抜歯になります。
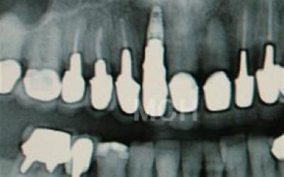
歯が抜けた後の治療には、
インプラント・ブリッジ・入れ歯の
3つがあります。
※左右にスクロールしてご覧ください
|
インプラント
|
ブリッジ
|
入れ歯
|
|
|---|---|---|---|
| 歯を削る | 削らない | 削る | 少しだけ削る |
| 周りの歯への 力の負担 |
負担をかけない | 非常に大きい | 大きい |
| 使用感 | 自分の歯に近い感覚 | 銀歯の場合は目立つ | 異物感を感じやすい |


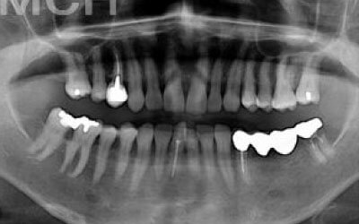
誰でも噛むときに歯に何十キロもの力がかかっています。当然、歯の本数が減れば減るほど残っている歯にかかる負担が大きくなります。
ブリッジ治療でも、 失った歯にかかっていた力は残っている前後の歯が支えます。 結果的に、残っている歯には抜歯していないときの1.5〜2倍程度の力がかかるのです。

入れ歯の場合は、バネをかけている歯や残っている歯への負担が大きくなります。多くの方が無意識で残っている歯で噛んでいることから、使う回数が極端に多くなったり過剰な力が加わり、結果的に折れるなど残っている歯の寿命を縮めます。
ただインプラントは、人工歯根を通して骨が力を支えるので、残っている歯への負担が圧倒的に少ないのです。

ブリッジなどの治療では前後の歯を大きく削る必要があります。場合によっては、虫歯でもないのに歯の神経をとることも。実は神経をとって被せ物をすると、歯は一気に最終ステージになってしまいます。
しかしインプラント治療なら、前後の歯を削る必要も神経をとる必要もありません。歯の寿命を延ばす上でも、健康な歯をできるだけ削らないのはとても大切なことなのです。

入れ歯の場合は毎食後に外して歯を磨いたり入れ歯を洗う必要があり、バネが見えたり見た目が気になる人もいます。入れ歯は取り外し式の装置なので、元の歯のように使うには限界があります。
インプラントだと固定式なので取り外す必要もなく煩わしさが圧倒的に少ないです。見た目も、他の人からはわからないケースがほとんどです。
他にもインプラント治療で
知っておいてもらいたいことがあります。
まずインプラント治療は
健康保険が適用になりません。
あとはインプラント治療を
受ける前の診査診断が大切です。
具体的には、以下のことなどを
総合的に判断して治療計画を立てます。

安全な治療で、長くもつインプラントの
ためには正しい検査が必須となります。
10年20年後もより良いお口の状態を
目指します。
インプラントを成功させる
5つのPOINT
1
CLINICAL ORAL
IMPLANTOLOGY
メーカーが発行する認定と違い、
学会が指定する症例数や治療経過などの
基準を満たした上でテストをクリアした歯科医師のみに認定されます。
2
経験の違いは、治療の質の違いです
3

アストラテックやオステムなどのインプラントメーカーから表彰されております。
4

1人の歯科医師の視点でなく、複数のドクターでCTの診断や計画を立てています。
5
感染対策はしっかりしており、
ニュースに出ている様な使いまわしは
一切ありませんのでご安心ください。
私たちは、インプラントだけでなく
残っている歯も大切にしています。
インプラント治療の
3つのリスクと対策

通常、インプラントの適正な
年間症例数は100~200件です。
当院はこれを超えないことを
大切にしています。
医療は、工業製品を売るのとは違います。
歯科医師が1人1人の患者さんと向き合って、初めて成立します。
だから私たちは、許容量を超えた治療はしません。
*横にスライド/スワイプしてご覧ください
当院のインプラント治療費は明確に設定されているのでご安心ください。

治療費で不安が無いように、全ての費用が含まれる明確な治療費(※)となっています。
患者さん
治療費の支払いはどのタイミングになりますか?
Dr.西村
治療スタートの時点で総額の半分のお支払い、残り半分は治療後半でのお支払いとなります。
患者さん
費用的に一括払いでは難しい場合、どうしたら良いでしょうか?
Dr.明石
治療費は、2分割でのお支払いが可能です。より多くの回数で分割支払いをご希望される方は、デンタルローンという方法があります。クレジットカードの分割よりも金利が安いため、分割をご希望の場合はデンタルローンの方がかなりお得です。
スルガ銀行のデンタルローンが
ご利用いただけます。




「より良い治療を受けたいけど、先生にお金の相談はしづらい…」
という方もご安心ください!
クリニックを介さず、銀行と直接ローン契約ができます!
デンタルローンの契約はクリニックに相談不要です。
銀行の調査によると、デンタルローンを申し込んだ人の 約40% がご自身で検索して利用しています。
当院はローン契約に関与しないため、ローンを検討していることはもちろん審査状況やお借入れ額などを知られることもありません。 費用をご相談いただいた際はデンタルローンのパンフレットをお渡しいたします。
「デンタルローン」なら、
一般的なクレジットカードの
リボ払いや分割払いより低金利だから返済総額や
月々の返済額が抑えられる!
患者さん
医療費控除は使えますか?
Dr.齋藤
医療費控除の活用は可能ですので、実質割引の様な感じとなります。
所得税率やその他の医療費の総額にも影響しますが、インプラント費の30%ぐらいが、医療費控除で戻ってきたりします。
詳しくは医療費控除の詳細チラシをご覧ください。

インプラント治療は安心・安全を優先し、末永く使っていただきたいと思っています。
しかし何かしらのトラブルに見舞われてしまった場合には安心の保証制度を設けております。
よりご安心いただけるための仕組みとなっております。

※当法人では2種類のインプラントを部位によって使い分けております。
インプラント本体は5年間、100%クリニック負担にて保証。
その後、6年⽬より段階的にクリニック負担割合は減りながら、10年間の保証。
上部構造物は3年間、100%クリニック負担にて保証。


定期的なメンテナンスを受けていてもインプラントのトラブルがあった場合、 使用期間に応じて修理、再製作の費用をクリニックで負担いたします。
もちろんその後もメンテナンスを続けることにより末永く使っていただけるものです。

インプラントだけの安いインプラント
専門の医院で受診する場合には
注意してほしいことが3つあります。
医院選びのポイント01
医院選びのポイント02
医院選びのポイント03



Dr.小林
激しい運動やアルコールの摂取は、術後3日ほど控えてください。
入浴も1~2日はシャワー程度にとどめていただくと安心です。
それ以外の日常生活には、特に大きな支障はありませんのでご安心ください。

Dr.福成
原則として、成人の方であればどなたでもインプラント治療は受けていただけます。
ただし、重篤な全身疾患がある場合などは、事前にかかりつけ医や担当医とご相談いただくことをおすすめします。

Dr.唐澤
奥歯の1〜2本程度のインプラントであれば、体力を大きく使うお仕事でない限り、翌日から通常通り勤務される方がほとんどです。
実際に、当日にデスクワークへ復帰される患者さまもいらっしゃいます。

Dr.中山
ご安心ください。麻酔を行いますので、痛みはほぼありません。

Dr.小林
天然の歯と同様に、3ヶ月に1度のメンテナンス(定期検診)がお勧めです。
インプラントと今ある歯を長く残すためにも、メンテナンスに取り組みましょう。

Dr.福成
歯科に関する統計データをご紹介いたします。
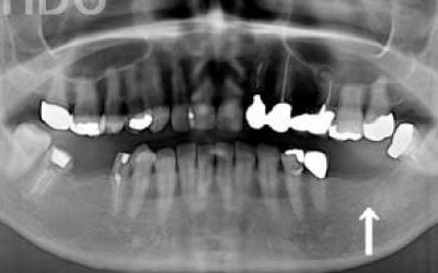
インプラントは10年後でも90~95%の高い残存率を誇ります。
一方でブリッジは、10年経過後の残存率がおよそ30~35%程度と大きな差があります。
なお、ブリッジが機能しなくなる主な原因は、支えとなる歯の状態が悪化し、抜歯に至るケースが多いことです。

Dr.唐澤
治療期間はお口の状態によって異なりますが、おおよそ2〜3ヶ月ほどが目安です。
ただし、毎週通院するような頻度ではなく、間隔を空けての通院で治療が進んでいきます。
なお、骨を増やす処置が必要な場合は、さらに約3ヶ月の期間が追加されることがあります。

Dr.中山
CT撮影を行うことで、骨や歯の状態を立体的に把握でき、各部位の距離を正確に測定することができます。
インプラント治療では、骨の厚さや傾斜、神経の位置などを事前に詳細に確認することで、より安全で確実な治療計画が立てられます。

Dr.小林
医療費控除の対象となるため、結果的に費用負担が軽くなる場合があります。
所得税率や年間の医療費総額によっても異なりますが、インプラント治療にかかった費用のおよそ20~30%程度が還付されることもあります。
※詳しくは医療費控除の詳細チラシをご覧下さい。

Dr.福成
治療費は2回に分けてお支払いいただけます。
さらに、より多くの回数で分割をご希望の方には「デンタルローン」のご利用がおすすめです。
クレジットカードの分割払いよりも金利が低めに設定されているため、負担を抑えたい方に適しています。
詳しくは、以下のデンタルローンの公式ページをご覧ください
https://www.surugabank.co.jp/reserved/landing/dentalplus/

Dr.唐澤
治療開始時に総額の半額をお支払いいただき、残りの半額は治療の後半でお支払いとなります。

Dr.中山
歯周病の進行状況によっては、インプラント治療を行うことができます。
しかし、まず歯周病の検査をしっかりと実施し、その上で適切な歯周病治療を終えることが必須です。
さらに、噛み合わせの調整や、治療後の定期的なメンテナンスを継続することで、インプラントを長持ちさせることが重要になります。

Dr.小林
インプラント医院を選ぶ際に押さえておきたいポイントは大きく3つあります。
1 料金面の注意点
ホームページなどで安価な料金を掲示していても、実際に診察を受けると「○○さんの状態にはその料金のプランは適用できません」と説明され、結果的に高額な費用になることもあります。だからこそ、インプラント専門医院を選ぶ場合は、かかりつけ医からの紹介を受けることをおすすめします。
2 メンテナンスの継続性
インプラントは埋入して終わりではなく、長く使い続けるために定期的なメンテナンスが不可欠です。
しかし、専門医院ではインプラント治療後もその医院に通い続ける必要があるため、時間や手間がかかります。メンテナンスを怠ると保証対象外になることも多いので、治療後も通いやすいかが大切なポイントです。
3 責任の所在と保証の問題
専門医院によってはメンテナンスを受け入れず、かかりつけ医でのケアを勧める場合があります。
トラブルが発生した際、歯周病や噛み合わせが原因でインプラントに問題が生じても、保証の対象外になることがあり、責任が不明瞭になるケースも報告されていますので注意が必要です。
お口の健康は多くの要因が複雑に絡み合っています。
そのため、虫歯や歯周病の治療も行う総合的な医院で治療を受けるか、専門医院を選ぶ際は必ずかかりつけ医の紹介を受けることが安心です。
人体は工業製品のように簡単に取り替えられるものではありません。長期的な視点でしっかり検討し、納得の上で治療を決めることが大切です。

Dr.福成
基本的には、虫歯や歯周病の治療も行っている総合的な歯科医院をおすすめします。
インプラント治療は単に歯が抜けた部分に人工歯を入れるだけでなく、残っている歯の歯周病や噛み合わせの状態を考慮した治療計画が重要だからです。
そのため、虫歯・歯周病・噛み合わせ・定期メンテナンスまで幅広く対応できるかかりつけ歯科医院での治療が理想的です。
もしかかりつけでインプラント治療を行っていない場合は、信頼できるインプラント専門医院に紹介してもらう形が良いでしょう。

Dr.唐澤
お口の状態や噛み合わせのバランスによって異なりますが、一般的には奥歯の治療が望ましいです。
特に、大臼歯と呼ばれる一番奥とその手前の歯が重要な役割を果たします。
噛む力の60%以上はこの奥の2本の歯で支えられているため、ここをしっかりとインプラントで補うことが効果的でおすすめです。

Dr.中山
一旦ブリッジにして良くなかったらインプラントにするというのは、残っている歯にとって負担が大きい治療方法となります。
というのも、ブリッジを装着するために、前後の健康な歯を大きく削らなければならないからです。
場合によっては、神経を抜く処置が必要になることもあります。
その結果、歯自体へのダメージが大きくなり、寿命が大幅に短くなる可能性が高いのです。
将来的にインプラントを検討されている場合は、ブリッジを選ぶ前にインプラント治療を始めるほうがはるかにメリットがあります。

Dr.小林
骨が薄い状態では、インプラントをそのまま埋入するのはおすすめできません。
ですが、事前に骨を増やす処置(骨造成)を行ったり、インプラントと同時に骨を補う治療を取り入れたりすることで、治療が可能になるケースがほとんどです。
一人ひとりの骨の状態を確認した上で、無理のない安全な方法をご提案しますので、まずはご相談ください。

Dr.福成
インプラント治療において、知っておくべき主なリスクは3つあります。
1. 骨とインプラントがうまく結合しない可能性
人の体はひとりひとり異なる反応を示すため、まれに(おおよそ100人に1人の割合で)結合がうまくいかないケースがあります。
ただし、その場合でもインプラントの種類やメーカーを変更するなどの対処により、再治療で問題なく結合することがほとんどですので、ご安心ください。
2. 顎の神経に触れるリスク
下あごの骨の中には神経が通っており、治療の際に誤って刺激する可能性があります。
しかし、事前にCT撮影を行って神経との距離を正確に把握した上で計画を立てることで、リスクは大幅に軽減できます。
さらに当院では、必要以上に骨を削らないよう専用のストッパーも併用しています。
3. 歯周病によるインプラントの脱落リスク
インプラントも天然の歯と同様に、歯ぐきや骨が歯周病菌の影響で弱くなると支えを失ってしまうことがあります。
そのため、インプラントだけでなくお口全体の歯周病管理やケアがとても重要です。

Dr.唐澤
インプラントは、入れ歯のように取り外す手間がなく、自分の歯のような感覚でしっかり噛めるのが大きな魅力です。
中でも最も大きな利点は、まわりの歯に余計な負担をかけないという点です。
ブリッジや入れ歯は、周囲の健康な歯に力の負担をかけてしまうため、それらの歯が次々に弱って抜けてしまうことも少なくありません。
それに対しインプラントは独立して支える構造のため、他の歯を守ることができる、歯にやさしい治療法なのです。

Dr.中山
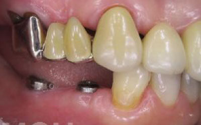
ブリッジとインプラントの大きな違いは、前後の歯の寿命に大きく関わることです。
ブリッジ治療では、抜けた歯の両隣を土台とするため、健康な歯でも大きく削る必要があり、負担がかかります。
また、失った歯の噛む力を前後の2本で支えるため、通常の約1.5倍の力がそれぞれにかかることになります。
1)ブリッジ治療
2)健康な隣の歯を大きく削る+支える歯に通常以上の力がかかる
3)結果として、両隣の歯の寿命が短くなる
実際に、支えとなる歯の約68%が10年以内に抜歯に至るというデータもあります。

Dr.小林
わずかな位置のずれであれば、噛み合わせを整えたり、小さな詰め物で対応できることもあります。
しかし、歯が抜けたまま数年放置され、周囲の歯が大きく傾いてしまった場合には、
歯列矯正による改善や、歯を大きく削って被せ物で補う必要が出てきます。

Dr.福成
歯が抜けたままの状態でも、しばらくすると違和感が薄れ、慣れてしまうことがあります。
しかしそのまま放置しておくと、見過ごせない問題が生じます。
1 周囲の歯が早く抜ける
本来その歯が担っていた「噛む力」の負担が、知らないうちに他の歯に偏ってかかってしまいます。
結果として、負荷がかかった歯が割れたり、予期せぬ抜歯が必要になるケースも少なくありません。
2 歯が傾いてくる、落ちてくる
歯の位置は互いに支え合ってバランスを保っています。 1本抜けることで、その両隣の歯が傾いたり、反対側の歯が伸びてきたりと、噛み合わせ全体が乱れてしまうことがあります。

Dr.福成
歯が抜けた後の治療について、多くの方が悩まれています。
特に、抜けたのが前歯ですとなおさら気になりますよね。 今回のご質問ですが、抜けた部分の骨が薄いなどの理由で「インプラントはできない」と言われた可能性があります。
前歯はもともと骨が薄く、歯が抜けると時間の経過とともにさらに骨が痩せてきてしまうので、インプラント治療の難易度が高い場所です。 ただ結論からお話すると、インプラント治療は可能です。
なぜなら、もし仮に骨が薄くても、骨の治療によって厚みが増せば、安全にインプラント治療が行えるからです。
なお、前歯のインプラント治療をご希望の方には、注意していただきたい点が4つほどあります。 1)インプラント治療を行う前に、骨の治療が必要かもしれません。
2)骨の治療から始めると、その分、治療期間が長くなります。
3)骨の治療は、通常のインプラント治療よりも難易度が高いため、経験の豊富な先生やインプラント認定医のいる歯科医院で治療を受けることをお勧めします。
4)骨の状況をしっかり把握するためにも、CT撮影が必須となります。 また、インプラント治療においては、周囲の歯の状況や咬み合わせの問題などもしっかりと考えて治療するのがとても大切です。
そのため、残っている歯についてもきちんと診査してくれるクリニックが良いでしょう。 インプラント治療には、「インプラントを入れたら終了」というイメージがありますが、治療後、どれだけ長くインプラントがもつのかが最も大切なことなので、しっかりとメンテナンスしてもらえる歯科医院を選んでください。 まずは、いくつかの歯科医院でインプラントの相談をして比較検討し、ご自身が良いと感じた先生のところで治療を受けることをお勧めいたします。
長くもつ
インプラントを
したい
残っている歯も
守りたい
認定医による
安心の治療の
提供
インプラント
だけの治療は
したくない
より良い関係性で
長くお口の健康を
守りたい
インプラント治療は、信頼できる医院を選び、自分に合った治療計画を見つけることが大切です。
お身体は一生付き合うものだからこそ、急がず慎重に考えてください。
私たちは、丁寧な説明と万全のサポートで、安心して治療に向き合える環境を提供します。
まずはお気軽にご相談ください。
ご相談いただくだけで
得られるメリット
MERIT 01
MERIT 02
MERIT 03
MERIT 04
MERIT 05
お急ぎの場合は、お気軽に
お電話ください!